Espaces importants

Encombrement

Les dents se chevauchent

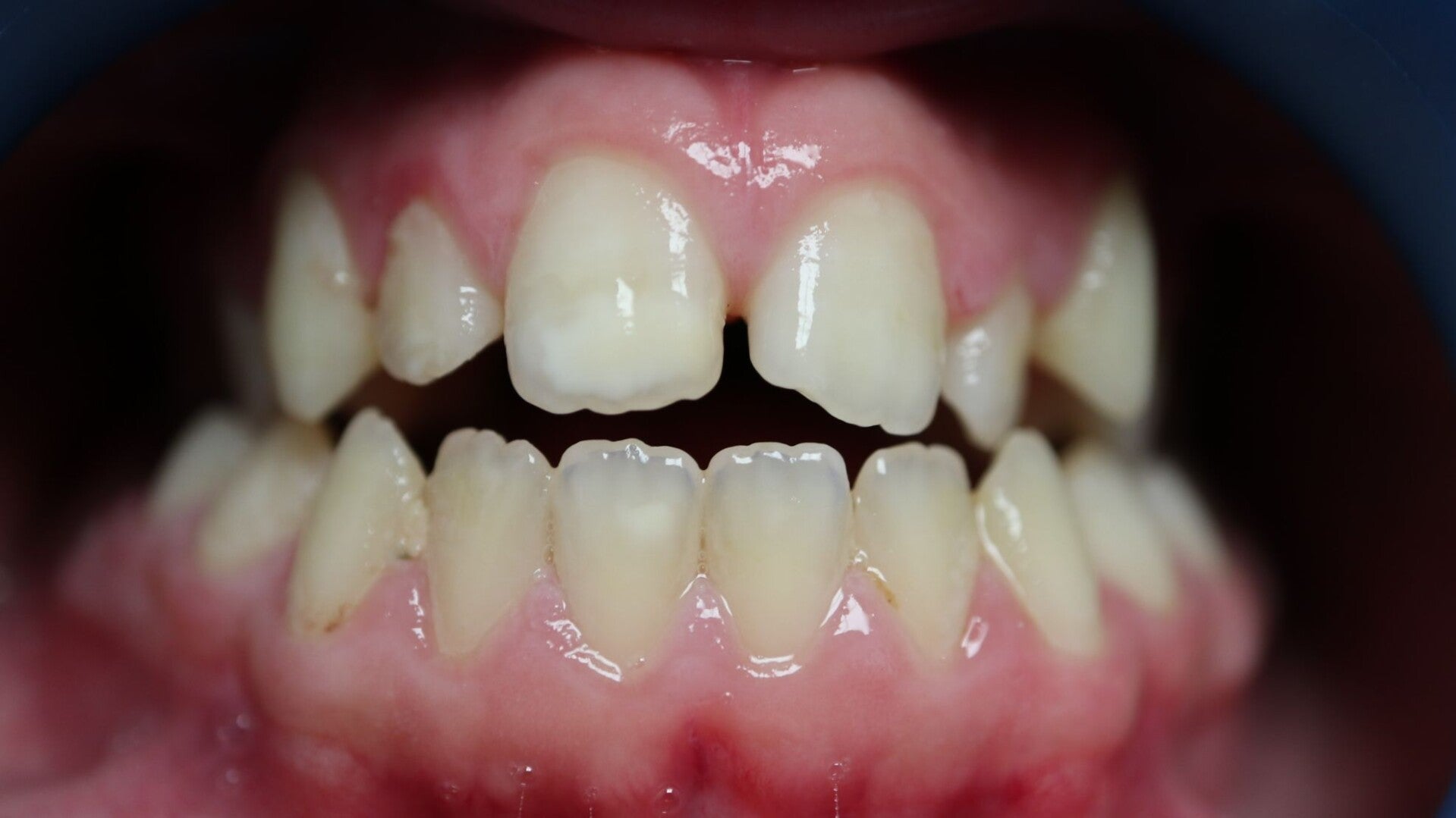
Béance

Les dents de devant ne se touchent pas

Supraclusion

Les incisives du haut recouvrent complètement les incisives du bas

Anomalie d'éruption

Des dents définitives poussent à l’extérieur ou à l’intérieur des dents de lait qui gênent leur éruption

Surplomb

Les incisives du haut sont loin devant les incisives du bas (pas de contact, la lèvre et la langue peuvent venir se loger dans cet espace)

Occlusion inversée antérieure

Les dents du bas passent devant les incisives du haut

Occlusion inversée postérieure

Les dents du haut sont à l’intérieur des dents du bas